宿州市第一人民医院应用 ApoLLO支架成形术治疗颅内动脉狭窄填补皖北空白
发布日期:2015-11-17 浏览次数:6235
脑动脉血管狭窄的治疗已成为治疗和预防缺血性脑血管疾病的重要方面。传统的治疗方案往往是嘱咐患者服用阿司匹林、阿托伐他汀等药物进行抗血小板、稳定斑块等对症处理,由于其治疗周期长、并发症多,效果并不理想。宿州市第一人民医院脑血管病诊疗中心马修尧主任带领他的团队,近日为一名颅内多发血管狭窄患者应用ApoLLO支架实施血管成形术,取得满意疗效。
据脑血管病诊疗中心马修尧主任介绍,这位娄性患者,今年64岁,家住宿州市南关,4年前便诊断为脑梗塞,按照医生的要求,娄先生从此以后便药不离口,吃了四五种药片,几年时间过去,症状也无改善。2015年11月8日晨7时许,家属发现娄先生口角歪斜、言语不清、一侧肢体不能动弹,遂慌忙呼叫120,送至宿州市第一人民医院就诊,急诊启动脑卒中救治绿色通道,通过全脑血管造影明确为颅内多发血管重度狭窄。马修尧主任根据患者情况,将患者病情及设计的治疗方案向其家属进行了详细解说。娄先生入院后进行了短期的抗凝治疗等准备,征得患者家属同意后,马修尧主任应用ApoLLO支架,成功为这位娄先生实施了双侧椎动脉重度狭窄段支架成形术。目前该患者术后各项监测指标正常,病情已稳定,头昏、肢体无力症状得以改善。这两日娄先生便可康复出院。
通过马修尧主任介绍,我们还了解到,近几年国内外应用支架成型术治疗颅内动脉狭窄,发展势头迅猛,并取得良好效果。但由于颅内动脉解剖结构复杂、血管走形迂曲、动脉官腔纤细、病变段可能有重要穿支动脉血管等因素,该项技术具有风险大、技术要求较高等特点,目前省内只有少数几家高级别医院开展了该项技术。宿州市第一人医院脑血管病诊疗中心马修尧主任应用ApoLLO支架成形术治疗颅内动脉狭窄填补了皖北地区空白,给皖北地区广大颅内血管狭窄患者带来福音。采访中马修尧主任主动留下脑血管病诊疗中心的脑卒中急救电话:18905579928。愿为广大缺血性脑血管疾病患者架设一条绿色健康通道。

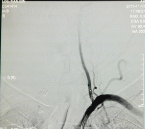
图为左侧椎动脉起始段狭窄手术前DSA 图为右侧椎动脉起始段狭窄手术前DSA

图为左侧椎动脉起始段狭窄手术后DSA 图为右侧椎动脉起始段狭窄手术后DSA 拷贝
脑动脉血管狭窄的治疗已成为治疗和预防缺血性脑血管疾病的重要方面。传统的治疗方案往往是嘱咐患者服用阿司匹林、阿托伐他汀等药物进行抗血小板、稳定斑块等对症处理,由于其治疗周期长、并发症多,效果并不理想。宿州市第一人民医院脑血管病诊疗中心马修尧主任带领他的团队,近日为一名颅内多发血管狭窄患者应用ApoLLO支架实施血管成形术,取得满意疗效。
据脑血管病诊疗中心马修尧主任介绍,这位娄性患者,今年64岁,家住宿州市南关,4年前便诊断为脑梗塞,按照医生的要求,娄先生从此以后便药不离口,吃了四五种药片,几年时间过去,症状也无改善。2015年11月8日晨7时许,家属发现娄先生口角歪斜、言语不清、一侧肢体不能动弹,遂慌忙呼叫120,送至宿州市第一人民医院就诊,急诊启动脑卒中救治绿色通道,通过全脑血管造影明确为颅内多发血管重度狭窄。马修尧主任根据患者情况,将患者病情及设计的治疗方案向其家属进行了详细解说。娄先生入院后进行了短期的抗凝治疗等准备,征得患者家属同意后,马修尧主任应用ApoLLO支架,成功为这位娄先生实施了双侧椎动脉重度狭窄段支架成形术。目前该患者术后各项监测指标正常,病情已稳定,头昏、肢体无力症状得以改善。这两日娄先生便可康复出院。
通过马修尧主任介绍,我们还了解到,近几年国内外应用支架成型术治疗颅内动脉狭窄,发展势头迅猛,并取得良好效果。但由于颅内动脉解剖结构复杂、血管走形迂曲、动脉官腔纤细、病变段可能有重要穿支动脉血管等因素,该项技术具有风险大、技术要求较高等特点,目前省内只有少数几家高级别医院开展了该项技术。宿州市第一人医院脑血管病诊疗中心马修尧主任应用ApoLLO支架成形术治疗颅内动脉狭窄填补了皖北地区空白,给皖北地区广大颅内血管狭窄患者带来福音。采访中马修尧主任主动留下脑血管病诊疗中心的脑卒中急救电话:18905579928。愿为广大缺血性脑血管疾病患者架设一条绿色健康通道。

图为左侧椎动脉起始段狭窄手术前DSA 图为右侧椎动脉起始段狭窄手术前DSA

图为左侧椎动脉起始段狭窄手术后DSA 图为右侧椎动脉起始段狭窄手术后DSA 拷贝




