优“袖”的技术,实现呼吸的自由
发布日期:2023-12-07 浏览次数:1939
近期,我院胸心血管外科在上海市第一人民医院黄威主任指导下,与麻醉科密切协作,为一位肺部恶性肿瘤的老年男性患者实施袖式肺叶切除术治疗,患者术后恢复良好,生活质量得到了显著的提升。此次手术填补了我院胸外科技术领域的一大空白,将我院胸外科微创技术推向新的发展阶段,拓宽了中央型肺癌侵犯主支气管及气管开口的手术治疗范围。
患者陈伯伯因为反复胸闷、气喘10年,加重伴咳嗽、咯血1月入院,胸部CT提示:右肺下叶近肺门处占位伴阻塞性炎症,肺气肿,心影增大。入住我院胸心血管外科后,床位医生张屹为其进一步完善相关检查,制定优质的诊疗方案,建议陈伯伯手术治疗。但在选择手术方案时遇到了难题,胸部CT所示,患者气管肿瘤的位置正好位于右肺中间段支气管,紧临上叶支气管开口,如果采取传统的术式,为保证切缘距离,需要牺牲患者右上叶,做右侧全肺切除,手术风险较高,术后肺功能恢复慢,病人生活质量差。
术前胸部CT:肿瘤累及中间段气管紧邻上叶气管
为此,胸心血管外科孔劲松主任团队经过反复讨论,排除了手术禁忌后,最终决定为陈伯伯行右肺中下叶袖式肺叶切除术。手术结束即拔除气管插管,术后6小时陈伯伯便可起床活动,术后第7天拔出胸引管,肺功能恢复良好,而且没有发生任何并发症。陈伯伯非常满意。
袖式肺叶切除术示意图
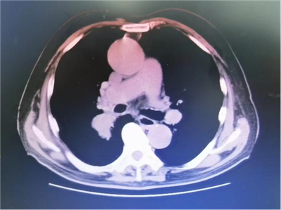
术后胸部CT:主支气管和上叶气管吻合,通气良好
所谓气管袖式切除术是将肿瘤所在的气管段切除,然后行对端吻合。通俗的说,袖子上有一个洞,先把有洞的部分去除,再把两节袖子重新缝合拼接起来。这种手术方式可以保留远侧端健康的肺组织,特别适宜于老年、心肺功能较差的患者。由于是缝合细小柔软、不停运动的气管,而操作又大大增加了手术难度。这就需要主刀医生具备娴熟的缝合针法,缝得太疏松会漏气,缝得太紧密会导致气管缺血,发生最严重的并发症——支气管胸膜瘘,从而危及患者生命安全;手术难度很高,风险极大。而手术在技术层面上,也对胸外科、麻醉科医生均提出更高要求,需要二者的默契配合,做到术者精准操作,快速吻合;麻醉医生密切监测,为手术保驾护航。
难度并不是进步的拦路石,而是进步的敲门砖。在医疗技术水平快速发展的今天,袖式肺叶切除术是一种既能切除肿瘤,又可以保留肺功能的巧妙办法。而我院胸心血管外科在孔劲松主任的带领下,不断提升肺癌综合治疗能力,近五年来先后派出骨干医师前往上海、合肥进修学习。目前,已成功在胸腔镜下微创治疗数百例肺癌患者,并在食管癌、纵膈肿瘤等治疗领域不断取得突破,为宿州及周边地区患者带来了更安全、更有效的治疗手段。
近期,我院胸心血管外科在上海市第一人民医院黄威主任指导下,与麻醉科密切协作,为一位肺部恶性肿瘤的老年男性患者实施袖式肺叶切除术治疗,患者术后恢复良好,生活质量得到了显著的提升。此次手术填补了我院胸外科技术领域的一大空白,将我院胸外科微创技术推向新的发展阶段,拓宽了中央型肺癌侵犯主支气管及气管开口的手术治疗范围。
患者陈伯伯因为反复胸闷、气喘10年,加重伴咳嗽、咯血1月入院,胸部CT提示:右肺下叶近肺门处占位伴阻塞性炎症,肺气肿,心影增大。入住我院胸心血管外科后,床位医生张屹为其进一步完善相关检查,制定优质的诊疗方案,建议陈伯伯手术治疗。但在选择手术方案时遇到了难题,胸部CT所示,患者气管肿瘤的位置正好位于右肺中间段支气管,紧临上叶支气管开口,如果采取传统的术式,为保证切缘距离,需要牺牲患者右上叶,做右侧全肺切除,手术风险较高,术后肺功能恢复慢,病人生活质量差。
术前胸部CT:肿瘤累及中间段气管紧邻上叶气管
为此,胸心血管外科孔劲松主任团队经过反复讨论,排除了手术禁忌后,最终决定为陈伯伯行右肺中下叶袖式肺叶切除术。手术结束即拔除气管插管,术后6小时陈伯伯便可起床活动,术后第7天拔出胸引管,肺功能恢复良好,而且没有发生任何并发症。陈伯伯非常满意。
袖式肺叶切除术示意图
术后胸部CT:主支气管和上叶气管吻合,通气良好
所谓气管袖式切除术是将肿瘤所在的气管段切除,然后行对端吻合。通俗的说,袖子上有一个洞,先把有洞的部分去除,再把两节袖子重新缝合拼接起来。这种手术方式可以保留远侧端健康的肺组织,特别适宜于老年、心肺功能较差的患者。由于是缝合细小柔软、不停运动的气管,而操作又大大增加了手术难度。这就需要主刀医生具备娴熟的缝合针法,缝得太疏松会漏气,缝得太紧密会导致气管缺血,发生最严重的并发症——支气管胸膜瘘,从而危及患者生命安全;手术难度很高,风险极大。而手术在技术层面上,也对胸外科、麻醉科医生均提出更高要求,需要二者的默契配合,做到术者精准操作,快速吻合;麻醉医生密切监测,为手术保驾护航。
难度并不是进步的拦路石,而是进步的敲门砖。在医疗技术水平快速发展的今天,袖式肺叶切除术是一种既能切除肿瘤,又可以保留肺功能的巧妙办法。而我院胸心血管外科在孔劲松主任的带领下,不断提升肺癌综合治疗能力,近五年来先后派出骨干医师前往上海、合肥进修学习。目前,已成功在胸腔镜下微创治疗数百例肺癌患者,并在食管癌、纵膈肿瘤等治疗领域不断取得突破,为宿州及周边地区患者带来了更安全、更有效的治疗手段。
- 上一篇:10岁儿童频繁眨眼,竟是脑内有个大肿瘤!
- 下一篇:立足岗位作贡献 卒中筛查暖人心




