德国西门子128层螺旋CT
发布日期:2013-02-04 浏览次数:6864

我院新引进的德国西门子SOMATOM Definition AS+ 64排128层螺旋CT,是目前世界最先进、最环保的高速螺旋CT机之一。
该机融合了独有的银河平台,突破传统CT技术瓶颈,实现了从二维、三维成像进入四维成像的全新时代,一次扫描即可获得全时相动态血管成像,又可获得全脑全肝脏灌注。该机超快速扫描能力,可以在几秒钟内完成从头到脚的全身高精度影像检查。应用先进的磁悬浮机架驱动及独特的零兆球管技术,达到最快0.3s的机架转速,使心脏检查能力超越了任何的64层CT。由于该机器拥有多种先进技术,达到了CT扫描速度、覆盖范围、图像质量和低X线剂量的完美统一,对全身心血管系统、神经系统、急诊医学、肿瘤诊断学都具有极好的影像诊断效果。
其特殊功能具体表现在以下几个方面:
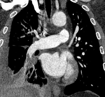
1、全身血管成像:该机扫描覆盖范围广,短时间内完成检查,多种后处理分析软件能显示各血管细小分支,可清晰显示动脉瘤、血管畸形、血管狭窄、动脉粥样硬化斑块、血管闭塞、主动脉夹层、肿瘤增生血管等。
2、心脏冠状动脉成像和心功能评价:由于采用磁悬浮驱动技术与轻量化球管,实现了0.30 秒的旋转速度,2 - 4秒完成对于整个心脏高分辨率扫描,使得冠状动脉检查成功率接近100%,在冠状动脉血管病的变的筛查、冠状动脉支架和搭桥血管评价等方面极具优势。另外利用心脏功能软件,还可以对某些心脏功能指标进行评价。检查更加快捷、舒适、安全,心脏介入术后患者无需住院复查。同时可以为冠心病的筛查及早期诊断提供准确可靠的影像依据。
3、CT灌注成像:CT灌注是指在静脉注射对比剂的同时,对选定的层面进行连续多次扫描,以获得每一像素的时间-密度曲线,计算出灌注组织的血流量、血容量、平均通过时间及毛细血管通透性等指标。除了对早期脑梗塞作出准确诊断外,对常规CT扫描和增强扫描时不易鉴别的肿瘤、炎症的鉴别诊断提供更有意义的依据,以及对治疗效果做出评价。
4、急诊检查:对于急性胸痛患者,可进行一次快速、非侵入式扫描,就能诊断出是否有心脏疾病、肺栓塞或者主动脉夹层三大主要导致胸痛的最致命性原因。对于外伤患者,通过短短10秒钟的扫描和先进的后处理软件能够对脏器的损伤和骨折做出及时诊断,为临床抢救赢得了时间,而且也节约了检查费用。
5、先进的仿真内镜技术:先进的结肠分析软件可自动去除小肠影像,将充气的结肠影像展平,从多角度,多平面分析结肠病变,较结肠镜检查方便,病人痛苦较少。除此之外,还可应用于胃、血管、气管、支气管、胆道、输尿管等空腔脏器的仿真内镜检查,大大提高了病变的检出率和诊断的准确性。
6、肺功能检查与肺结节分析:分别于深吸气末及深呼气末对肺进行CT扫描,在工作站可快速准确地测定患者的各项肺功能指标,对慢性阻塞性肺疾病患者肺通气功能的评价具有重要的临床意义。应用计算机辅助诊断,自动分析和记录首次检查的结果,再次复查时可自动计算出肺结节的增长率和倍增时间,为判断结节的良恶性提供客观依据。
此外该西门子128层螺旋CT在肺癌、结肠癌等癌症的普查、泌尿系CT成像、口腔颌面部三维成像等方面具备强大功能。
总之,西门子64排128层螺旋CT是一台功能强大,扫描速度快,图像质量高,辐射剂量低,临床应用范围广泛的先进影像检查设备。它的引进使我院的医学影像检查技术得到了质的飞跃,必将为我院医疗事业的发展做出重大贡献!





我院新引进的德国西门子SOMATOM Definition AS+ 64排128层螺旋CT,是目前世界最先进、最环保的高速螺旋CT机之一。
该机融合了独有的银河平台,突破传统CT技术瓶颈,实现了从二维、三维成像进入四维成像的全新时代,一次扫描即可获得全时相动态血管成像,又可获得全脑全肝脏灌注。该机超快速扫描能力,可以在几秒钟内完成从头到脚的全身高精度影像检查。应用先进的磁悬浮机架驱动及独特的零兆球管技术,达到最快0.3s的机架转速,使心脏检查能力超越了任何的64层CT。由于该机器拥有多种先进技术,达到了CT扫描速度、覆盖范围、图像质量和低X线剂量的完美统一,对全身心血管系统、神经系统、急诊医学、肿瘤诊断学都具有极好的影像诊断效果。
其特殊功能具体表现在以下几个方面:
1、全身血管成像:该机扫描覆盖范围广,短时间内完成检查,多种后处理分析软件能显示各血管细小分支,可清晰显示动脉瘤、血管畸形、血管狭窄、动脉粥样硬化斑块、血管闭塞、主动脉夹层、肿瘤增生血管等。
2、心脏冠状动脉成像和心功能评价:由于采用磁悬浮驱动技术与轻量化球管,实现了0.30 秒的旋转速度,2 - 4秒完成对于整个心脏高分辨率扫描,使得冠状动脉检查成功率接近100%,在冠状动脉血管病的变的筛查、冠状动脉支架和搭桥血管评价等方面极具优势。另外利用心脏功能软件,还可以对某些心脏功能指标进行评价。检查更加快捷、舒适、安全,心脏介入术后患者无需住院复查。同时可以为冠心病的筛查及早期诊断提供准确可靠的影像依据。
3、CT灌注成像:CT灌注是指在静脉注射对比剂的同时,对选定的层面进行连续多次扫描,以获得每一像素的时间-密度曲线,计算出灌注组织的血流量、血容量、平均通过时间及毛细血管通透性等指标。除了对早期脑梗塞作出准确诊断外,对常规CT扫描和增强扫描时不易鉴别的肿瘤、炎症的鉴别诊断提供更有意义的依据,以及对治疗效果做出评价。
4、急诊检查:对于急性胸痛患者,可进行一次快速、非侵入式扫描,就能诊断出是否有心脏疾病、肺栓塞或者主动脉夹层三大主要导致胸痛的最致命性原因。对于外伤患者,通过短短10秒钟的扫描和先进的后处理软件能够对脏器的损伤和骨折做出及时诊断,为临床抢救赢得了时间,而且也节约了检查费用。
5、先进的仿真内镜技术:先进的结肠分析软件可自动去除小肠影像,将充气的结肠影像展平,从多角度,多平面分析结肠病变,较结肠镜检查方便,病人痛苦较少。除此之外,还可应用于胃、血管、气管、支气管、胆道、输尿管等空腔脏器的仿真内镜检查,大大提高了病变的检出率和诊断的准确性。
6、肺功能检查与肺结节分析:分别于深吸气末及深呼气末对肺进行CT扫描,在工作站可快速准确地测定患者的各项肺功能指标,对慢性阻塞性肺疾病患者肺通气功能的评价具有重要的临床意义。应用计算机辅助诊断,自动分析和记录首次检查的结果,再次复查时可自动计算出肺结节的增长率和倍增时间,为判断结节的良恶性提供客观依据。
此外该西门子128层螺旋CT在肺癌、结肠癌等癌症的普查、泌尿系CT成像、口腔颌面部三维成像等方面具备强大功能。
总之,西门子64排128层螺旋CT是一台功能强大,扫描速度快,图像质量高,辐射剂量低,临床应用范围广泛的先进影像检查设备。它的引进使我院的医学影像检查技术得到了质的飞跃,必将为我院医疗事业的发展做出重大贡献!




- 上一篇:乳腺钼靶
- 下一篇:西门子1.5T超导磁共振




