CT引导下肺穿刺活检:精准诊断助力肺腺癌治疗
发布日期:2024-10-19 浏览次数:2731
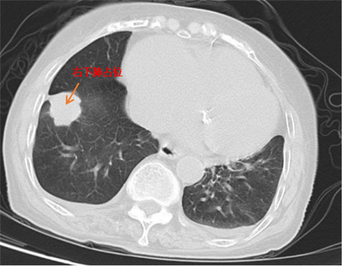
近日,83 岁的市民尹某因心慌、胸闷入住我院急诊科。入院后胸部 CT 显示右肺下叶占位,建议增强扫描,部分胸椎椎体高度减低。呼吸与危重症医学二科会诊后考虑肺恶性肿瘤不能排除,遂转入该科室进一步诊治。
张海莲医师在评估患者病情后,与家属沟通并取得同意,为患者实施了 CT 引导下肺穿刺活检术,成功获取了病变部位标本,并送检病理科病理学检查。
病理结果显示:(右肺穿刺组织)腺癌。免疫组化结果明确诊断为肺恶性肿瘤(肺腺癌)。患者明确病理后,进一步完善基因检测,拟行恶性肿瘤靶向治疗。
CT 引导下经皮肺穿刺活检术是一种常用的诊断方法,旨在以最小的创伤获取肺部病变或胸膜病变的组织样本,进行病理学诊断,为临床治疗提供依据。其主要适应症包括胸部孤立性占位病变、肺部多发占位病变、肺良性病变需取得局部感染细菌学或免疫学诊断以确定治疗计划、放化疗前取得肺内恶性占位病灶细胞组织学诊断、胸腔积液、胸膜增厚伴肺部肿块的定性诊断等。
然而,该技术也存在一些禁忌症,如可疑肺内血管源性病变(如血管瘤、肺隔离症、动 - 静脉畸形、动脉瘤等);凝血障碍或有严重出血倾向的患者;肺内病变可疑为包虫病;严重肺气肿、肺纤维化、肺动脉高压者;肺内或胸腔内化脓性病变者;穿刺行径有肺大疱或肺囊肿者;严重恶病质不能配合者;病灶位于肺门区、大血管旁、纵隔内或病灶直径小于 0.5 厘米。
其常见并发症有气胸和出血。气胸最为常见,大部分术后气胸为少量气胸,只需卧床静养、吸氧、监护等处理。中量气胸应配合医师进行胸腔穿刺抽取胸腔内气体,大量气胸则需要进行胸腔闭式引流术。出血也是常见并发症,包括痰中带血和咯血,少部分患者会出现大咯血及血胸。出现咯血时,应指导患者安静休息,患侧卧位,头偏向一侧,鼓励自主咳嗽,排出气道内血液,并配合医师完成吸氧及止血治疗。
总之,CT 引导下经皮肺活检是一种简便、安全、准确的技术,对于肺部疾病的诊断和治疗具有重要意义。它能够明确病变的性质、良恶性等,为肺癌的早期手术提供有力条件,提高患者的生存时间,是一种重要的诊断手段,有助于早期发现和治疗肺部疾病。
近日,83 岁的市民尹某因心慌、胸闷入住我院急诊科。入院后胸部 CT 显示右肺下叶占位,建议增强扫描,部分胸椎椎体高度减低。呼吸与危重症医学二科会诊后考虑肺恶性肿瘤不能排除,遂转入该科室进一步诊治。
张海莲医师在评估患者病情后,与家属沟通并取得同意,为患者实施了 CT 引导下肺穿刺活检术,成功获取了病变部位标本,并送检病理科病理学检查。
病理结果显示:(右肺穿刺组织)腺癌。免疫组化结果明确诊断为肺恶性肿瘤(肺腺癌)。患者明确病理后,进一步完善基因检测,拟行恶性肿瘤靶向治疗。
CT 引导下经皮肺穿刺活检术是一种常用的诊断方法,旨在以最小的创伤获取肺部病变或胸膜病变的组织样本,进行病理学诊断,为临床治疗提供依据。其主要适应症包括胸部孤立性占位病变、肺部多发占位病变、肺良性病变需取得局部感染细菌学或免疫学诊断以确定治疗计划、放化疗前取得肺内恶性占位病灶细胞组织学诊断、胸腔积液、胸膜增厚伴肺部肿块的定性诊断等。
然而,该技术也存在一些禁忌症,如可疑肺内血管源性病变(如血管瘤、肺隔离症、动 - 静脉畸形、动脉瘤等);凝血障碍或有严重出血倾向的患者;肺内病变可疑为包虫病;严重肺气肿、肺纤维化、肺动脉高压者;肺内或胸腔内化脓性病变者;穿刺行径有肺大疱或肺囊肿者;严重恶病质不能配合者;病灶位于肺门区、大血管旁、纵隔内或病灶直径小于 0.5 厘米。
其常见并发症有气胸和出血。气胸最为常见,大部分术后气胸为少量气胸,只需卧床静养、吸氧、监护等处理。中量气胸应配合医师进行胸腔穿刺抽取胸腔内气体,大量气胸则需要进行胸腔闭式引流术。出血也是常见并发症,包括痰中带血和咯血,少部分患者会出现大咯血及血胸。出现咯血时,应指导患者安静休息,患侧卧位,头偏向一侧,鼓励自主咳嗽,排出气道内血液,并配合医师完成吸氧及止血治疗。
总之,CT 引导下经皮肺活检是一种简便、安全、准确的技术,对于肺部疾病的诊断和治疗具有重要意义。它能够明确病变的性质、良恶性等,为肺癌的早期手术提供有力条件,提高患者的生存时间,是一种重要的诊断手段,有助于早期发现和治疗肺部疾病。




