从治疗案例看青少年特发性脊柱侧弯矫正意义
发布日期:2024-12-06 浏览次数:5941
青少年特发性脊柱侧弯(简称 AIS),作为最为常见的脊柱侧弯类型,在青少年群体中较为多发,通常青睐于 10 - 18 岁这个年龄段的孩子。从全球范围来看,其发病率大约处于 0.5% - 5% 之间,不过,不同地区以及不同人群之间,这一发病率会存在一定的差异。值得注意的是,女性在 AIS 的发病方面,发病率相对更高,而且病情也更容易出现进展情况。
究竟是哪些因素影响着青少年特发性脊柱侧弯的发生呢?影响因素· 遗传因素:家族史无疑是 AIS 的一个重要风险因素。诸多研究都表明,脊柱侧弯具有明显的遗传倾向,某些特定的基因变异很可能与其发病存在密切关联,就好像在基因层面埋下了一颗 “隐患的种子”,一旦遇到合适的条件,就可能引发脊柱侧弯。
· 激素变化:青春期是孩子身体发育的关键时期,在这个阶段,激素会发生显著变化,尤其是生长激素的分泌量增加。这种激素的变化在促进脊柱快速发育的同时,也在一定程度上使得脊柱侧弯的风险随之升高,宛如一把双刃剑,在助力成长的同时,也带来了潜在的健康风险。
· 骨骼与肌肉不平衡:人体的骨骼、肌肉以及神经系统之间原本需要保持一种精妙的平衡,相互协作来维持脊柱的稳定性。然而,一旦它们之间出现失衡或者异常发育的情况,比如骨密度降低,又或者是肌肉力量不对称等问题,就很可能影响到脊柱的正常形态,进而导致脊柱侧弯的发生,如同精密的机器某个部件出现故障,影响了整体的正常运转。
· 体态与生活习惯:不良的体态以及长期保持静态的坐姿,对于脊柱健康而言,犹如慢性 “毒药”,会逐渐加剧或者诱发脊柱侧弯。孩子们在学习、生活中,如果长时间弯腰驼背、歪扭着身子,脊柱长期处于不正常的受力状态,久而久之,就容易发生侧弯。
· 环境因素:虽然相较于其他因素,环境因素对 AIS 的影响相对较小,但像营养不良、维生素 D 缺乏等与骨骼发育息息相关的因素,同样可能增加发病的风险。骨骼的健康发育就像盖房子需要充足的建筑材料一样,如果缺乏必要的营养支持,就容易出现 “质量问题”,进而影响脊柱的正常形态。
需要特别强调的是,那些未得到及时治疗的脊柱侧弯患者,在步入成年之后,很可能会面临诸如脊柱狭窄、椎间盘突出等脊柱退行性疾病的风险,这无疑会给他们的生活质量带来严重的影响。相反,若能通过及时的干预和矫正措施,就能够有效降低未来这些退行性问题的发生几率,为孩子的长远健康保驾护航。
总的来说,纠正青少年脊柱侧弯意义重大,它不仅有助于改善孩子当下的短期健康状况,更对预防长期的身体以及心理健康问题起着至关重要的作用。早期治疗干预就像是为孩子的健康成长铺设了一条平坦的道路,能够显著提高他们的生活质量,助力他们健康地从青少年阶段步入成年时期。
接下来,为大家分享一则脊柱侧弯治疗的实际病例,希望能让大家对此有更直观的了解。
病例分享患者基本信息
患者小尹,是一名 13 岁的女生,家住宿州市,目前还是一名学生。初诊日期为 2022 年 12 月 31 日。就诊及治疗过程· 初诊情况:2022 年 12 月 31 日,小尹因家人发现其脊柱侧弯,来到我院骨科门诊就诊,随后经推荐转诊至康复医学科进行矫正治疗。门诊医师在详细了解她的病情以及学业等诸多影响因素后,为她指导了一系列与脊柱侧弯相关的拉伸及锻炼动作,建议她进行家庭康复,并叮嘱要定期回院复查。
· 首次复查及调整治疗方案:时间来到 2024 年 2 月 16 日,小尹按要求到康复医学科门诊复查全脊柱 x 片。对比去年所拍摄的片子,发现脊柱侧弯改善情况不太理想。经过与小尹母亲深入的沟通交流,医师综合考虑后,建议在继续进行康复锻炼的基础上,引入浮针疗法进行介入治疗,期望以此来加速脊柱侧弯的恢复。为此,专门为小尹制定了浮针疗法 + 矫正锻炼 + 气血操的整体治疗方案。
首诊详情:
· 主诉:脊柱侧弯发现 1 年有余。
· 现病史:2022 年底家人发现小尹存在脊柱侧弯问题后,便带她来我院就诊,在接受康复指导后,小尹开始进行家庭康复。但自行康复的效果并不理想,从外观上看,身体形态并没有太大的改变。此次前来复查,门诊医师通过视诊可以明显看到脊柱侧弯的情况,中段胸椎向右侧凸,下段胸椎及腰椎向左侧凸,同时还伴有高低肩的现象。据家属讲述,小尹自幼学习舞蹈,原本体态较好,但近来却发现她坐姿歪扭,而且容易感到疲劳,经过检查才确诊为脊柱侧弯,家人对此十分着急。不过,目前小尹在饮食、二便以及睡眠方面都还算正常。
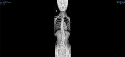
· 辅助检查:2023 年 2 月 16 日全脊柱片显示,脊柱侧弯情况在胸腰段较为明显,cobb 角约为 15°。
· 既往史:小尹身体一直比较健康,否认患有糖尿病、心脏病、高血压以及家族遗传病等病史。
· 诊断:明确诊断为脊柱侧弯。
· 一般检查:体温为 36.5℃,脉搏每分钟 85 次,呼吸每分钟 20 次,血压为 112/85 mmHg。小尹呈现自主体位,神志清晰,检查过程中配合度良好,呼吸音清晰,没有听到湿啰音以及哮鸣音,心律也很整齐。但可以看到右肩稍高,右侧肩胛内旋内收,棘突连线呈 S 型,中段胸椎向右侧凸,下段胸椎及腰椎向左侧凸。
· 辨肌辨势:长期的不良姿势,使得优势肌出现疲劳紧张的状态,随着时间的推移,这种情况最终引起了脊柱侧凸以及高低肩的问题,就如同多米诺骨牌效应一样,一个小小的不良习惯引发了一系列的身体形态改变。
· 患肌检查:经过仔细检查,发现存在问题的患肌包括右侧斜方肌、右侧竖脊肌腰段、腰方肌、左侧竖脊肌中段、双侧竖脊肌肩胛段、双侧腹直肌、双侧臀大肌等。
· 治疗:在治疗时,先是对局部进行常规的碘伏消毒,然后采用派福牌一次性使用浮针进行治疗。每个针刺部位浮针扫散 50 秒后,再针对相应患肌进行扫散及灌注活动 2 次,并予以适当抗阻。
· 即刻效果:治疗结束后,小尹自述后背的紧张感明显好转,右肩感觉轻松了许多,转头活动也变得轻松自如,右侧肩胛内收的情况目视有了改善,右肩活动更加灵活,这一系列的积极变化让小尹和家人看到了治疗的希望。
· 医嘱:医师叮嘱小尹要注意避免受凉,尽量改掉不良姿势,保持规律的作息时间,适度进行拉伸以及矫姿锻炼,这些生活中的注意事项对于后续的康复同样起着关键作用。
二诊情况:
时间到了 2024 年 3 月 2 日,由于小尹学业负担较重,没能按时前来就诊。据家属反馈,小尹的高低肩已经有所改善,整个后背的紧张感也有了一定程度的缓解。此次处理的患肌为双侧腹直肌、腹外斜肌、小腿三头肌、胸锁乳突肌、斜方肌。治疗结束后,小尹并没有出现不适的情况,医嘱与之前相同,医师还教授了她气血操,并通过微信进行随诊,以便随时了解小尹的康复情况。
三诊情况:
2024 年 3 月 24 日,小尹再次前来就诊,通过目视可以发现,她腰部的曲线相较于之前有了明显改善,两侧竖脊肌膨隆程度相当,让她俯卧位后仰时,可以看到双侧肌肉发力比较均衡,触诊棘突时,也能感觉到 S 线较前有所改善。此次处理的患肌包括双侧腰大肌、竖脊肌、膈肌、腹直肌、右侧竖脊肌下段、腰方肌、双侧髂腰肌。治疗结束后,小尹同样没有不适的主诉,医嘱依旧保持不变。
微信随诊,家属一直在努力。
在后续与家属的微信随诊过程中,虽然小尹因为学业原因,没能按照疗程及时就诊,后续治疗也未能持续跟进,这确实有些遗憾,但家属反馈小尹的体态已经有了显著改善。后来复查全脊柱片时发现,其 cobb 角减小至 10.5°,这一结果充分彰显了浮针治疗以及早期治疗介入干预对于脊柱侧弯恢复的重要性。 治疗意义总结纠正青少年脊柱侧弯,其意义远不止于改善体态这么简单。通过矫正体态,能够帮助脊柱恢复正常的对称性,让孩子们在日常的活动中可以保持更好的平衡和姿势,避免因脊柱畸形压迫而导致心肺功能受损,还能减轻背部肌肉和关节所承受的压力,预防或者缓解疼痛症状。同时,体态的改善对于青少年的心理健康也有着积极影响,能够增强他们的自信心,让他们更加积极乐观地面对生活和学习。
总之,纠正青少年脊柱侧弯无论是对于当下,还是对于长远的未来,都有着不可忽视的重要作用。如果您或者身边的人有关于脊柱侧弯及治疗方面的相关问题,欢迎通过电话或者直接到科室进行咨询,我们将竭诚为您提供帮助。
宿州市第一人民医院康复医学科
地址:鞋城三路与淮海南路交汇处宿州市第一人民医院南院
科室电话:0557-2801125
张主任:181 3376 1308
朱医生:188 5572 2064
青少年特发性脊柱侧弯(简称 AIS),作为最为常见的脊柱侧弯类型,在青少年群体中较为多发,通常青睐于 10 - 18 岁这个年龄段的孩子。从全球范围来看,其发病率大约处于 0.5% - 5% 之间,不过,不同地区以及不同人群之间,这一发病率会存在一定的差异。值得注意的是,女性在 AIS 的发病方面,发病率相对更高,而且病情也更容易出现进展情况。
究竟是哪些因素影响着青少年特发性脊柱侧弯的发生呢?影响因素· 遗传因素:家族史无疑是 AIS 的一个重要风险因素。诸多研究都表明,脊柱侧弯具有明显的遗传倾向,某些特定的基因变异很可能与其发病存在密切关联,就好像在基因层面埋下了一颗 “隐患的种子”,一旦遇到合适的条件,就可能引发脊柱侧弯。
· 激素变化:青春期是孩子身体发育的关键时期,在这个阶段,激素会发生显著变化,尤其是生长激素的分泌量增加。这种激素的变化在促进脊柱快速发育的同时,也在一定程度上使得脊柱侧弯的风险随之升高,宛如一把双刃剑,在助力成长的同时,也带来了潜在的健康风险。
· 骨骼与肌肉不平衡:人体的骨骼、肌肉以及神经系统之间原本需要保持一种精妙的平衡,相互协作来维持脊柱的稳定性。然而,一旦它们之间出现失衡或者异常发育的情况,比如骨密度降低,又或者是肌肉力量不对称等问题,就很可能影响到脊柱的正常形态,进而导致脊柱侧弯的发生,如同精密的机器某个部件出现故障,影响了整体的正常运转。
· 体态与生活习惯:不良的体态以及长期保持静态的坐姿,对于脊柱健康而言,犹如慢性 “毒药”,会逐渐加剧或者诱发脊柱侧弯。孩子们在学习、生活中,如果长时间弯腰驼背、歪扭着身子,脊柱长期处于不正常的受力状态,久而久之,就容易发生侧弯。
· 环境因素:虽然相较于其他因素,环境因素对 AIS 的影响相对较小,但像营养不良、维生素 D 缺乏等与骨骼发育息息相关的因素,同样可能增加发病的风险。骨骼的健康发育就像盖房子需要充足的建筑材料一样,如果缺乏必要的营养支持,就容易出现 “质量问题”,进而影响脊柱的正常形态。
需要特别强调的是,那些未得到及时治疗的脊柱侧弯患者,在步入成年之后,很可能会面临诸如脊柱狭窄、椎间盘突出等脊柱退行性疾病的风险,这无疑会给他们的生活质量带来严重的影响。相反,若能通过及时的干预和矫正措施,就能够有效降低未来这些退行性问题的发生几率,为孩子的长远健康保驾护航。
总的来说,纠正青少年脊柱侧弯意义重大,它不仅有助于改善孩子当下的短期健康状况,更对预防长期的身体以及心理健康问题起着至关重要的作用。早期治疗干预就像是为孩子的健康成长铺设了一条平坦的道路,能够显著提高他们的生活质量,助力他们健康地从青少年阶段步入成年时期。
接下来,为大家分享一则脊柱侧弯治疗的实际病例,希望能让大家对此有更直观的了解。
病例分享患者基本信息
患者小尹,是一名 13 岁的女生,家住宿州市,目前还是一名学生。初诊日期为 2022 年 12 月 31 日。就诊及治疗过程· 初诊情况:2022 年 12 月 31 日,小尹因家人发现其脊柱侧弯,来到我院骨科门诊就诊,随后经推荐转诊至康复医学科进行矫正治疗。门诊医师在详细了解她的病情以及学业等诸多影响因素后,为她指导了一系列与脊柱侧弯相关的拉伸及锻炼动作,建议她进行家庭康复,并叮嘱要定期回院复查。
· 首次复查及调整治疗方案:时间来到 2024 年 2 月 16 日,小尹按要求到康复医学科门诊复查全脊柱 x 片。对比去年所拍摄的片子,发现脊柱侧弯改善情况不太理想。经过与小尹母亲深入的沟通交流,医师综合考虑后,建议在继续进行康复锻炼的基础上,引入浮针疗法进行介入治疗,期望以此来加速脊柱侧弯的恢复。为此,专门为小尹制定了浮针疗法 + 矫正锻炼 + 气血操的整体治疗方案。
首诊详情:
· 主诉:脊柱侧弯发现 1 年有余。
· 现病史:2022 年底家人发现小尹存在脊柱侧弯问题后,便带她来我院就诊,在接受康复指导后,小尹开始进行家庭康复。但自行康复的效果并不理想,从外观上看,身体形态并没有太大的改变。此次前来复查,门诊医师通过视诊可以明显看到脊柱侧弯的情况,中段胸椎向右侧凸,下段胸椎及腰椎向左侧凸,同时还伴有高低肩的现象。据家属讲述,小尹自幼学习舞蹈,原本体态较好,但近来却发现她坐姿歪扭,而且容易感到疲劳,经过检查才确诊为脊柱侧弯,家人对此十分着急。不过,目前小尹在饮食、二便以及睡眠方面都还算正常。
· 辅助检查:2023 年 2 月 16 日全脊柱片显示,脊柱侧弯情况在胸腰段较为明显,cobb 角约为 15°。
· 既往史:小尹身体一直比较健康,否认患有糖尿病、心脏病、高血压以及家族遗传病等病史。
· 诊断:明确诊断为脊柱侧弯。
· 一般检查:体温为 36.5℃,脉搏每分钟 85 次,呼吸每分钟 20 次,血压为 112/85 mmHg。小尹呈现自主体位,神志清晰,检查过程中配合度良好,呼吸音清晰,没有听到湿啰音以及哮鸣音,心律也很整齐。但可以看到右肩稍高,右侧肩胛内旋内收,棘突连线呈 S 型,中段胸椎向右侧凸,下段胸椎及腰椎向左侧凸。
· 辨肌辨势:长期的不良姿势,使得优势肌出现疲劳紧张的状态,随着时间的推移,这种情况最终引起了脊柱侧凸以及高低肩的问题,就如同多米诺骨牌效应一样,一个小小的不良习惯引发了一系列的身体形态改变。
· 患肌检查:经过仔细检查,发现存在问题的患肌包括右侧斜方肌、右侧竖脊肌腰段、腰方肌、左侧竖脊肌中段、双侧竖脊肌肩胛段、双侧腹直肌、双侧臀大肌等。
· 治疗:在治疗时,先是对局部进行常规的碘伏消毒,然后采用派福牌一次性使用浮针进行治疗。每个针刺部位浮针扫散 50 秒后,再针对相应患肌进行扫散及灌注活动 2 次,并予以适当抗阻。
· 即刻效果:治疗结束后,小尹自述后背的紧张感明显好转,右肩感觉轻松了许多,转头活动也变得轻松自如,右侧肩胛内收的情况目视有了改善,右肩活动更加灵活,这一系列的积极变化让小尹和家人看到了治疗的希望。
· 医嘱:医师叮嘱小尹要注意避免受凉,尽量改掉不良姿势,保持规律的作息时间,适度进行拉伸以及矫姿锻炼,这些生活中的注意事项对于后续的康复同样起着关键作用。
二诊情况:
时间到了 2024 年 3 月 2 日,由于小尹学业负担较重,没能按时前来就诊。据家属反馈,小尹的高低肩已经有所改善,整个后背的紧张感也有了一定程度的缓解。此次处理的患肌为双侧腹直肌、腹外斜肌、小腿三头肌、胸锁乳突肌、斜方肌。治疗结束后,小尹并没有出现不适的情况,医嘱与之前相同,医师还教授了她气血操,并通过微信进行随诊,以便随时了解小尹的康复情况。
三诊情况:
2024 年 3 月 24 日,小尹再次前来就诊,通过目视可以发现,她腰部的曲线相较于之前有了明显改善,两侧竖脊肌膨隆程度相当,让她俯卧位后仰时,可以看到双侧肌肉发力比较均衡,触诊棘突时,也能感觉到 S 线较前有所改善。此次处理的患肌包括双侧腰大肌、竖脊肌、膈肌、腹直肌、右侧竖脊肌下段、腰方肌、双侧髂腰肌。治疗结束后,小尹同样没有不适的主诉,医嘱依旧保持不变。
微信随诊,家属一直在努力。
在后续与家属的微信随诊过程中,虽然小尹因为学业原因,没能按照疗程及时就诊,后续治疗也未能持续跟进,这确实有些遗憾,但家属反馈小尹的体态已经有了显著改善。后来复查全脊柱片时发现,其 cobb 角减小至 10.5°,这一结果充分彰显了浮针治疗以及早期治疗介入干预对于脊柱侧弯恢复的重要性。 治疗意义总结纠正青少年脊柱侧弯,其意义远不止于改善体态这么简单。通过矫正体态,能够帮助脊柱恢复正常的对称性,让孩子们在日常的活动中可以保持更好的平衡和姿势,避免因脊柱畸形压迫而导致心肺功能受损,还能减轻背部肌肉和关节所承受的压力,预防或者缓解疼痛症状。同时,体态的改善对于青少年的心理健康也有着积极影响,能够增强他们的自信心,让他们更加积极乐观地面对生活和学习。
总之,纠正青少年脊柱侧弯无论是对于当下,还是对于长远的未来,都有着不可忽视的重要作用。如果您或者身边的人有关于脊柱侧弯及治疗方面的相关问题,欢迎通过电话或者直接到科室进行咨询,我们将竭诚为您提供帮助。
宿州市第一人民医院康复医学科
地址:鞋城三路与淮海南路交汇处宿州市第一人民医院南院
科室电话:0557-2801125
张主任:181 3376 1308
朱医生:188 5572 2064
- 上一篇:颈椎病还有这些症状?
- 下一篇:消除肝炎,积极行动




