气管镜下微创术:精准助力肺结节病确诊
发布日期:2025-01-20 浏览次数:2665
近期,我院呼吸与危重症医学一科成功收治并确诊一例胸部淋巴结增大患者。通过支气管镜下经支气管针吸淋巴结活检(TBNA)技术,结合病理诊断,在排除其他疾病后,确诊该患者为结节病,这也是 2025 年我院首例通过纵隔淋巴结活检确诊的肺结节病病例,让患者和家属悬着的心终于落地。
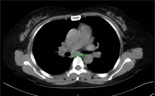
患者是一位 55 岁的女性,向来生活作息规律。3 天前,她因后背部疼痛不适前往外院检查,发现肺部存在结节。为进一步明确诊断与治疗,患者来到我院呼吸与危重症医学一科就诊。胸部 CT 检查显示,患者两肺有结节,同时纵膈淋巴结(7 组)肿大。
结合患者病史及胸部 CT 结果,呼吸一科王海龙主任在查房后分析指出:患者为中年女性,伴有轻度咳嗽,纵隔淋巴结肿大,综合考虑肺结节病可能性较大。但由于淋巴瘤、肺结核、肺癌等疾病与肺结节病症状容易混淆,为准确诊断,需进行气管镜下纵膈淋巴结穿刺活检,以便直接、全面地了解肿大淋巴结的性质。同时,还需完善肿瘤标志物、风湿免疫、肺结核等相关检查。
随后,王海龙主任带领呼吸内镜介入团队,为患者实施了支气管镜引导纵隔淋巴结活检(TBNA)。手术过程顺利,获取了满意的组织标本。经病理检查提示:(隆突下淋巴结)为非坏死上皮样肉芽肿性病变伴多核巨细胞反应。
在此之前,患者及家属一直对恶性疾病忧心忡忡。病理诊断明确后,他们终于如释重负。王海龙主任介绍,支气管镜下经支气管针吸活检术不仅能为胸部恶性肿瘤的诊断及分期提供重要依据,对于不常见的纵隔良性病变诊断同样关键,是呼吸科医生不可或缺的诊断利器。
我院呼吸与危重症医学一科诊治范围广泛,涵盖呼吸专科的常见病、多发病,同时兼顾少见或罕见病。科室以呼吸内镜介入技术为重点发展方向,不断探索创新,致力于为更多患者提供优质服务。该技术最大的优势在于创伤小,针对小病灶或淋巴结肿大,无需进行外科手术,通过针刺病变部位获取标本即可诊断疾病。
近年来,科室已通过气管镜下淋巴结穿刺活检明确诊断肺结节病 7 例,显著缩短了患者的诊疗周期,减轻了患者的诊疗痛苦与家庭经济压力。
Ø 病理提示:(隆突下淋巴结)非坏死上皮样肉芽肿性病变伴多核巨细胞反应。
科普小常识:结节病结节病是一种病因及发病机制尚不明确的系统性肉芽肿性疾病,好发于中青年人群,女性发病率略高于男性。其发病率在不同地区有所差异,美国白种人年发生率为 49.8/10 万人,日本为 1.01/10 万人。结节病几乎可累及全身各个器官,其中肺及胸内淋巴结最易受累。常见症状包括干咳、胸闷、气短、胸痛、喘息等。
结节病的诊断主要依据非干酪样坏死性上皮样肉芽肿,结合抗酸染色、六胺银染色等特殊染色,必要时进行免疫组化,同时需排除感染、异物、肿瘤等其他原因引发的肉芽肿性炎。多数患者预后良好,但仍有约 25% 的患者呈慢性、进展性病程,最终可能导致肺纤维化、肝硬化、致死性心律失常、失明等不可逆病变,严重影响患者的生活质量与寿命。
近期,我院呼吸与危重症医学一科成功收治并确诊一例胸部淋巴结增大患者。通过支气管镜下经支气管针吸淋巴结活检(TBNA)技术,结合病理诊断,在排除其他疾病后,确诊该患者为结节病,这也是 2025 年我院首例通过纵隔淋巴结活检确诊的肺结节病病例,让患者和家属悬着的心终于落地。
患者是一位 55 岁的女性,向来生活作息规律。3 天前,她因后背部疼痛不适前往外院检查,发现肺部存在结节。为进一步明确诊断与治疗,患者来到我院呼吸与危重症医学一科就诊。胸部 CT 检查显示,患者两肺有结节,同时纵膈淋巴结(7 组)肿大。
结合患者病史及胸部 CT 结果,呼吸一科王海龙主任在查房后分析指出:患者为中年女性,伴有轻度咳嗽,纵隔淋巴结肿大,综合考虑肺结节病可能性较大。但由于淋巴瘤、肺结核、肺癌等疾病与肺结节病症状容易混淆,为准确诊断,需进行气管镜下纵膈淋巴结穿刺活检,以便直接、全面地了解肿大淋巴结的性质。同时,还需完善肿瘤标志物、风湿免疫、肺结核等相关检查。
随后,王海龙主任带领呼吸内镜介入团队,为患者实施了支气管镜引导纵隔淋巴结活检(TBNA)。手术过程顺利,获取了满意的组织标本。经病理检查提示:(隆突下淋巴结)为非坏死上皮样肉芽肿性病变伴多核巨细胞反应。
在此之前,患者及家属一直对恶性疾病忧心忡忡。病理诊断明确后,他们终于如释重负。王海龙主任介绍,支气管镜下经支气管针吸活检术不仅能为胸部恶性肿瘤的诊断及分期提供重要依据,对于不常见的纵隔良性病变诊断同样关键,是呼吸科医生不可或缺的诊断利器。
我院呼吸与危重症医学一科诊治范围广泛,涵盖呼吸专科的常见病、多发病,同时兼顾少见或罕见病。科室以呼吸内镜介入技术为重点发展方向,不断探索创新,致力于为更多患者提供优质服务。该技术最大的优势在于创伤小,针对小病灶或淋巴结肿大,无需进行外科手术,通过针刺病变部位获取标本即可诊断疾病。
近年来,科室已通过气管镜下淋巴结穿刺活检明确诊断肺结节病 7 例,显著缩短了患者的诊疗周期,减轻了患者的诊疗痛苦与家庭经济压力。
Ø 病理提示:(隆突下淋巴结)非坏死上皮样肉芽肿性病变伴多核巨细胞反应。
科普小常识:结节病结节病是一种病因及发病机制尚不明确的系统性肉芽肿性疾病,好发于中青年人群,女性发病率略高于男性。其发病率在不同地区有所差异,美国白种人年发生率为 49.8/10 万人,日本为 1.01/10 万人。结节病几乎可累及全身各个器官,其中肺及胸内淋巴结最易受累。常见症状包括干咳、胸闷、气短、胸痛、喘息等。
结节病的诊断主要依据非干酪样坏死性上皮样肉芽肿,结合抗酸染色、六胺银染色等特殊染色,必要时进行免疫组化,同时需排除感染、异物、肿瘤等其他原因引发的肉芽肿性炎。多数患者预后良好,但仍有约 25% 的患者呈慢性、进展性病程,最终可能导致肺纤维化、肝硬化、致死性心律失常、失明等不可逆病变,严重影响患者的生活质量与寿命。




