肝胆外科“扫黄打非、铲黑除恶”在路上
发布日期:2025-05-17 浏览次数:1943
一、"扫黄打非"行动
黄疸如同笼罩患者的"黄色阴霾",胆道梗阻是其幕后"黑手"。近一周肝胆外科为4名不同部位胆道梗阻患者进行了“扫黄”治疗。胆道梗阻如同下水道堵塞,胆汁无法正常排出,患者皮肤发黄。在超声引导下,精准地将引流管置入胆道引流胆汁,从而降低黄疸指数,为后续治疗打下基础。
案例1.李**,81岁男性,胆总管末端梗阻,经右叶胆管引流后黄疸迅速下降。
案例2.张**,68岁男性,内科转入,肝内胆管梗阻,经左内叶胆管引流,胆汁稀薄,需进一步行肝右叶胆管引流。
案例3.房**,81岁男性,内科转入,胆总管中段梗阻,经左叶胆管引流,黄疸明显好转,等待进一步行胆管癌根治术。
案例4.周**,90岁女性,内科转入,胆总管中下段梗阻合并大量腹水,穿刺引流肝前腹水后,经左外叶胆管引流,黄疸明显好转。
“打非”即打击各类非计划再手术。
案例1.徐**,71岁女性,外院行腹腔镜下胆囊切除,术后腹痛腹胀,大量腹腔积液入住我科给予穿刺引流后好转。
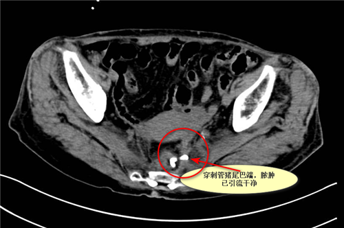
案例2.卞**,87岁女性,于上级医院行直肠癌根治术,因盆腔脓肿,反复腹痛伴发热10天收住胃肠外科,联系我科给予经直肠腔内超声引导下盆腔脓肿穿刺置管引流,引流当天体温即恢复正常。
二、"铲黑除恶"攻坚
脓肿、肿瘤就像体内的“黑恶势力”,可引发感染、发热等症状,威胁患者健康。超声引导下穿刺置管引流能精准地将脓液引出,消除感染源;肿瘤穿刺活检通过获取肿瘤组织样本,明确肿瘤性质,为后续治疗方案的制定提供关键依据。
三、技术优势
✅ 精准定位:超声实时引导,避开重要血管,直达目标
✅ 微创安全:仅需细针穿刺,创伤小、恢复快
✅ 立竿见影:迅速解除梗阻、积液,症状快速消退
✅ 适应症广:适用于结石、肿瘤等引起的胆道梗阻及各类术后积液
✅ 并发症少:团队手术经验丰富,自2021年立项宿州市科技项目“介入性超声在普外科相关应用”后,已成功开展各类超声引导下的活检、穿刺引流、消融超千例。
如果您或家人正在遭遇:
皮肤发黄、小便浓茶色(胆道梗阻)
术后持续发热、腹痛(感染脓肿)
不明原因肿块(肿瘤嫌疑)
千万早就诊,千万去正规医院,千万找专科!
肝胆外科24小时救治电话:0557-3323896
科室地址: 门诊综合大楼13楼肝胆外科
一、"扫黄打非"行动
黄疸如同笼罩患者的"黄色阴霾",胆道梗阻是其幕后"黑手"。近一周肝胆外科为4名不同部位胆道梗阻患者进行了“扫黄”治疗。胆道梗阻如同下水道堵塞,胆汁无法正常排出,患者皮肤发黄。在超声引导下,精准地将引流管置入胆道引流胆汁,从而降低黄疸指数,为后续治疗打下基础。
案例1.李**,81岁男性,胆总管末端梗阻,经右叶胆管引流后黄疸迅速下降。
案例2.张**,68岁男性,内科转入,肝内胆管梗阻,经左内叶胆管引流,胆汁稀薄,需进一步行肝右叶胆管引流。
案例3.房**,81岁男性,内科转入,胆总管中段梗阻,经左叶胆管引流,黄疸明显好转,等待进一步行胆管癌根治术。
案例4.周**,90岁女性,内科转入,胆总管中下段梗阻合并大量腹水,穿刺引流肝前腹水后,经左外叶胆管引流,黄疸明显好转。
“打非”即打击各类非计划再手术。
案例1.徐**,71岁女性,外院行腹腔镜下胆囊切除,术后腹痛腹胀,大量腹腔积液入住我科给予穿刺引流后好转。
案例2.卞**,87岁女性,于上级医院行直肠癌根治术,因盆腔脓肿,反复腹痛伴发热10天收住胃肠外科,联系我科给予经直肠腔内超声引导下盆腔脓肿穿刺置管引流,引流当天体温即恢复正常。
二、"铲黑除恶"攻坚
脓肿、肿瘤就像体内的“黑恶势力”,可引发感染、发热等症状,威胁患者健康。超声引导下穿刺置管引流能精准地将脓液引出,消除感染源;肿瘤穿刺活检通过获取肿瘤组织样本,明确肿瘤性质,为后续治疗方案的制定提供关键依据。
三、技术优势
✅ 精准定位:超声实时引导,避开重要血管,直达目标
✅ 微创安全:仅需细针穿刺,创伤小、恢复快
✅ 立竿见影:迅速解除梗阻、积液,症状快速消退
✅ 适应症广:适用于结石、肿瘤等引起的胆道梗阻及各类术后积液
✅ 并发症少:团队手术经验丰富,自2021年立项宿州市科技项目“介入性超声在普外科相关应用”后,已成功开展各类超声引导下的活检、穿刺引流、消融超千例。
如果您或家人正在遭遇:
皮肤发黄、小便浓茶色(胆道梗阻)
术后持续发热、腹痛(感染脓肿)
不明原因肿块(肿瘤嫌疑)
千万早就诊,千万去正规医院,千万找专科!
肝胆外科24小时救治电话:0557-3323896
科室地址: 门诊综合大楼13楼肝胆外科




