挑战极限保肛 内镜微创担当

发布日期:2024-10-09 浏览次数:1622

内镜黏膜下剥离术(ESD),作为一种先进的内镜微创手术,在宿州市第一人民医院已得到广泛应用。随着内镜技术的持续完善和消化内镜的日益普及,越来越多的早期胃癌、肠癌、癌前病变及胃肠粘膜下疾病得以在内镜下成功切除。

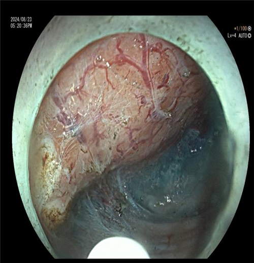
近日,一位患者因 “反复上腹胀痛、纳差 1 年余” 入住我院普外二科(胃肠外科)。入院肛检发现直肠后壁有大块颗粒样增厚区,CT 提示直肠壁增厚。进一步肠镜检查后,内镜下见直肠约 6*5cm 侧向发育型息肉,下缘距肛门仅 2.5cm,活检病理为绒毛状管状腺瘤。

科主任曾春辉在与患者及家属商讨手术方式时,了解到患者极度排斥外科手术,因其病变位置特殊,距离肛门仅 2.5cm,开刀恐难以保住肛门,患者表示宁愿不做手术也不愿生活质量低下。尽管病变巨大且位置特殊,内镜手术难度大、风险高,已超出常规 ESD 手术范畴,但曾主任毅然决定挑战技术极限。他在全麻下为患者施行 “内镜下直肠下段侧向发育息肉 ESD 术(隧道内镜技术)”,手术顺利完成。

相较于肿瘤的外科手术治疗,患者不仅实现了肿瘤完整切除,还成功保留了肛门,生理功能良好,生活质量显著提升。

ESD 的适应症广泛,包括消化道早期肿瘤无淋巴结及血行浸润、转移者,无论病灶大小和位置均可切除;直径超过 2cm 的宽基底和无蒂息肉可一次完整切除;超声内镜诊断的位置较浅的平滑肌瘤、脂肪瘤、间质瘤、神经源性肿瘤和类癌等黏膜下肿瘤,可通过 ESD 完整剥离病变。

宿州市第一人民医院内镜中心拥有先进的诊疗设备,如富士双气囊电子小肠镜、超声内镜设备均为市内首家引入并独立开展,在皖北 6 市中也处于少数拥有此项设备技术的单位之列。中心可开展双气囊电子小肠镜检查、逆行性胰胆管造影术(ERCP)及其相关技术、内镜下粘膜剥离术(ESD)、超声内镜引导下细针穿刺活检(EUS-FNA)等,标志着医院内镜中心诊疗技术日趋成熟,竭诚为患者的健康保驾护航。